跑馬地獸醫診所及醫院成立於1985年,致力為患病寵物們提供完善及細心的護理。
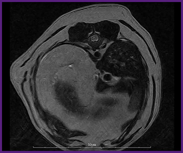
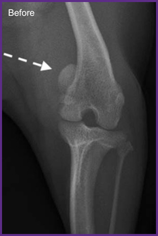
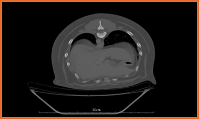
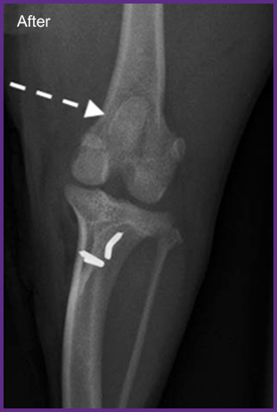
我們提供留院服務並擁有相應的治療設施,亦是小數備有CT電腦掃描及MRI磁力共振等大型醫療儀器的診所及醫院。
本診所亦獲得美國貓獸醫從業員認可成為"友善貓診所"。
3 - 3
10 - 10
5 - 5
11 - 11
7 - 7
7 - 10
1 - 2
2 - 2
4 - 4
1 - 4
x